Surgical
All-On-X Dental Implants in Washington, DC & Bethesda, MD
If you are missing all of your teeth in the upper or lower dental arch, chances are that you are seeking a dependable solution to restore your smile’s function and appearance. While dentures are well-known and enjoyed by many patients, maybe you’re looking for something more long-term and natural-looking. If that’s the case, All-On-X dental implants could be the perfect solution for you!
If you are interested in this treatment, we invite you to read on to learn more about All-On-X dental implants and how they can change your life! Call our office if you have any questions.
What are All-On-X Dental Implants?
All-On-X dental implants are a type of dental implant system that is used to support a full arch of missing or failing teeth. Similar to the traditional implant, the full arch prosthetic is supported by titanium posts that are surgically placed into the jawbone. All-On-X implants can be used in both the upper and lower dental arch, and they can be an excellent solution for patients who are missing all of their teeth.
This system gets its name from its ability to support an entire arch of teeth on just a few implants—as few as four, in fact! This makes the All-On-X system ideal for patients who have a limited amount of bone density in their jaw. The system is a good option for patients who want to avoid the need for a sinus lift or guided bone regeneration, which is often required when placing traditional implants in the upper or lower arch. By strategically placing each titanium post, our surgeons can avoid the sinus cavity or any areas of compromised bone support, making All-On-X a more efficient and minimally invasive option.
Are You a Candidate for All-On-X Dental Implants?
The best way to determine if you are a candidate for All-On-X implants is to come in for a consultation with our experienced implant dentists. During your consultation, we will thoroughly examine your mouth and jaw to make sure that you have enough bone density to support the titanium posts. Since we are only placing a few implants to support the prosthetic, there is a great chance that we can find sufficient bone to place the implants. We will also review your medical history to make sure that you are in good overall health.
It’s important to note that All-On-X implants are not right for everyone. In some cases, patients may require a traditional implant or a different type of dental restoration. Our team will work with you to determine the best possible treatment plan to meet your specific needs and goals.
Benefits of All-On-X Dental Implants
-
1. Fewer Implants, Maximum Stability
All-on-X uses just 4 to 6 strategically placed implants to support an entire arch of teeth. This method takes advantage of the strongest areas of the jawbone, often eliminating the need for bone grafting, especially in the upper jaw, and provides a stable, long-lasting foundation.
-
2. Eat, Speak, and Smile With Confidence
Unlike dentures that can slip or feel bulky, All-on-X implants are secure and fixed in place. You can enjoy all your favorite foods, speak clearly, and smile confidently without worrying about movement or adhesives.
-
3. Immediate Results in One Day
In many cases, patients leave surgery with a temporary set of fixed teeth the same day implants are placed. This means you don’t have to go without teeth during healing, and you can walk out of your appointment with a brand-new smile.
-
4. Preserves Jawbone Structure by Preventing Future Bone Loss
When you lose teeth, the bone that once supported those teeth begins to deteriorate. This can cause your facial features to change and can lead to further tooth loss. However, because All-On-X implants replace the roots of your teeth, they can help to preserve the bone in your jaw. This can help you maintain a youthful appearance while preventing premature aging.
-
5. Long-Term, Low-Maintenance Solution
With proper care and regular checkups, All-on-X implants can last decades or even a lifetime. They’re made of durable materials and don’t need to be removed for cleaning. Your daily home care is very similar to caring for natural teeth, making your All-on-X easy to maintain.
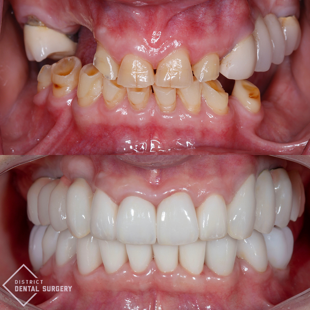
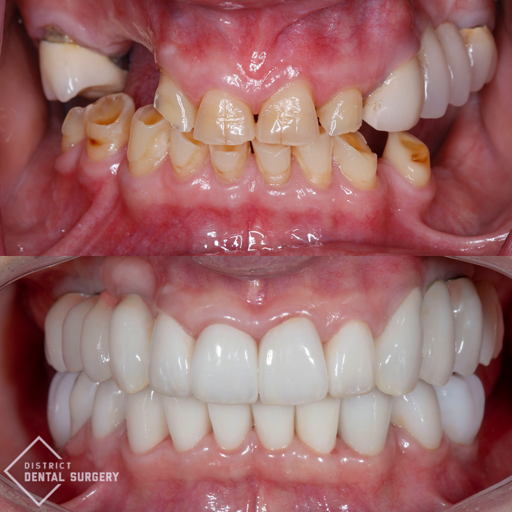
All-on-X Dental Implants Smile Makeover
A full smile in one day! In this video, Dr. Raha Yousefi walks through a transformative All-on-X case for a patient who had been struggling with severe tooth loss. He was missing the majority of his lower teeth, and the few that remained were failing and needed to be removed. Traditional options would have left him with a removable denture, but he wanted something secure and long-lasting.
Using the All-on-X approach, we were able to remove the unsalvageable teeth, place four dental implants, and rebuild his lower arch with a full-arch implant-supported restoration. This solution gives patients a strong, fixed set of teeth that look natural and function like their own.
One of the biggest benefits of All-on-X is how natural it feels. After the procedure, patients brush, chew, talk, and function just as they would with real teeth. No slipping, no removing a denture — just a confident, secure smile. All-on-X is one of the most predictable, comfortable, and life-changing ways to restore a full arch of teeth. This patient walked out with a complete smile — and a renewed sense of confidence.
What to Expect During & After the All-On-X Dental Implant Procedure:
STEP 1: Consultation & Planning
- 3D scans and digital impressions
- Bone evaluation, implant planning, and smile goals
STEP 2: Procedure Day
- The procedure usually takes less than two hours. We will make small incisions in the gums and place the implants into the jawbone. Once the implants are in place, the gums will be stitched up, and a temporary dental prosthesis will be attached. You walk out with a brand-new smile
- Your comfort is our priority. The procedure is performed under local anesthesia, which means the treatment area will be completely numb. You won’t feel pain during the procedure, and most patients report little to no discomfort throughout. For added comfort, we also offer laughing gas (nitrous oxide) and Xanax if you’re feeling anxious or prefer a more relaxed experience.
STEP 3: Healing & Integration
- Click to view full post-op instructions
- Immediately After:
- You can expect to experience some mild swelling and bruising immediately after the procedure. These side effects are completely normal and will resolve within a few days. It’s important to take it easy for the first few days. Eat a soft diet for the first few weeks, NO hard, crunchy, or sticky foods. We’ll provide you with detailed post-op instructions.
- Over the next 3–6 months:
- The implants integrate with your bone (osseointegration), and we monitor healing and fine-tune your bite.
- Temporary prosthetic stays in place while your implants heal.
STEP 4: Final Prosthetic
- Once the implants have healed and fused to the jawbone, you will come back in for a final appointment. The temporary prosthesis will be removed and replaced with your permanent custom-made one for lasting comfort and aesthetics.
What Can You Eat After Surgery?
A Complete Periodontal Recovery Diet Guide:
Eating the right foods post-operatively is just as important as the procedure itself, because what you eat after surgery plays a big role in how well and how quickly you heal. After surgery, your tissue is delicate and actively healing. The wrong foods can cause irritation, introduce bacteria, or physically disrupt the surgical site. Following a structured diet helps reduce discomfort, prevent complications, and support the best possible outcome.
Day 1
Immediately After Surgery/Day 1:
Keep It Cold and Soft. Right after surgery, your mouth will be tender, and cold foods can help soothe the area and reduce swelling. Stick to things like:
- Smoothies (no straws)
- Yogurt
- Ice cream
- Milkshakes
- Drink plenty of ice water!
Days 2-3
Days 2-3 After Surgery:
Stick to soft, cool, and non-irritating foods.
- Ice cream and sorbet (no nuts or chewy mix-ins)
- Smoothies (no seeds or chunks)
- Applesauce
- Mashed potatoes
- Scrambled eggs
- Yogurt (plain or smooth, no granola or fruit chunks)
- Oatmeal
- Protein shakes
- Broths and blended soups (lukewarm or cold)
- Pudding and custards
- Gelatin (Jell-O)
Tip: If you can, use the opposite side of your mouth when eating. Use a spoon instead of a straw to avoid suction pressure.
Days 4-7
Days 4-7 After Surgery:
You may begin to slowly incorporate more variety, but keep the foods soft.
- Soft pasta, such as mac and cheese or buttered noodles
- Cooked, soft vegetables (steamed carrots, zucchini, squash, sweet potatoes)
- Soft fruits (bananas, canned fruits, avocado)
- Tender cooked meats (ground turkey/beef/chicken, shredded chicken)
- Tofu
- Beans and lentils
- Soft fish (white fish and salmon)
- Pancakes and soft waffles
- Cottage cheese and soft cheeses
Week 1-4
1-4 Weeks After Surgery
As healing progresses, you can slowly return to a more normal diet, while continuing to be cautious and still avoiding anything too hard or sharp.
- Most cooked vegetables and fruits
- Soft grains, pasta, and rice
- Lean meats and poultry
- Soft sandwiches (no crust or toasted bread)
- Turkey, egg salad, tuna
- Muffins or banana bread
- Soft tortillas
Foods to Avoid Until Fully Healed
What to AVOID Until Fully Healed:
- Crunchy, Sharp, or Pointy Foods: Chips, Pretzels, Popcorn, Crackers, Granola, Nuts (almonds, peanuts, walnuts)
- Foods with Seeds or Small Grains: Chia, sesame, poppy seeds, Quinoa, Seeded breads, Berries with small seeds (strawberries, raspberries)
- Sticky Foods: Caramels, Taffy, Gummy candy, Fruit snacks
- Tough & Chewy Foods: Steak, Beef jerky, Chewy protein bars, Dried fruit (raisins, mango, apricots)
- Hard or Crusty Breads: Baguettes, Bagels, Toasted bread
- Raw, Hard, or Fibrous Foods: Raw vegetables (carrots, celery, broccoli), Hard fruits (apples, pears)
- Spicy Foods: Hot sauce, Chili, Spicy curries
- Acidic Foods & Drinks: Citrus (oranges, lemons, limes, grapefruit), Tomato-based sauces, Vinegar and vinaigrettes
- Hot Foods & Drinks: Hot coffee or tea, Hot Soups
- Habits to Avoid:
- Drinking through a straw
- Chewing on the surgical side
- Smoking
- Alcohol
FAQ
Frequently Asked Questions
Our Transformative Results
All-On-X Dental Implants
All-On-X Dental Implants
All-On-X Dental Implants
All-On-X Dental Implants
All-On-X Dental Implants
All-On-X Dental Implants
All-On-X Dental Implants
All-On-X Dental Implants
All-On-X Dental Implants
All-On-X Dental Implants
All-On-X Dental Implants
All-On-X Dental Implants
All-On-X Dental Implants
Testimonials
What Patients Are Saying
Dr. Yousefi was fantastic. She was calm, funny, and capable. She immediately put me at ease (I was pretty anxious). I have never been numbed up so quickly and near painlessly – and the rest of the procedure was then painless, too. She and her team gave clear directions as to what to do for the next 24 hours and beyond, what to eat, how to care for the flipper temporary tooth, and answered all my questions. The staff called me the next business day to follow up and answered more questions that I had come up with by then. Highly recommend.
Phyllis R.
Dr Lucy Johnson was the best! I really am grateful for her help with my dental issue, and so impressed how fast she got me in and that she was so understanding of my dental anxiety! She made sure my anxiety was controlled before my appointment and was extra careful to ensure no pain during the procedure at all. Highly highly recommend!
Halima B.
Dr. Mahboub and her team did a wonderful job for my special issues with two implants that have to be removed. They did their best to keep me comfortable during the long procedure.
Maurice S.
My family and I have been patients for maybe 10-15 years! After trying a bunch of different dentists, we found Dr. Yousefi and have been happy with her team and their services ever since. She has helped us with minor issues as well as major long-term care, including a broken tooth and a few implants. The service has always been amazing, and we are very happy with the quality and expertise here. The new, amazing facilities with super convenient parking are just the cherry on top!
Dmitry K.
I was referred to District Dental for surgery, and it turns out that they are one of the best dental offices I have ever been to. The office is very modern and clean, and the employees are friendly and knowledgeable. I had no pain after my surgery, and my recovery was excellent.
Greg C.
I had a front tooth extraction with a bone grafting procedure done by Dr. Lucy Johnson, and the experience was excellent from start to finish. She explained everything clearly, made me feel completely at ease, and everything went so well during the surgery.
The recovery has gone better than expected. I was thinking that my temporary would look rugged, but it looks better than my natural tooth! The procedure was painless and recovery has been a breeze- very minimal discomfort. Her team was professional, kind, and responsive throughout. I truly appreciate the level of expertise and compassion Dr. Johnson brings to her work. Highly recommend her to anyone!
Sandra G.
I had gum recession on my molars from brushing too hard. I saw Dr Lucy Johnson and she was amazing. She was kind, patient, and thoroughly explained everything they were doing, including my treatment plan, and answered any questions I had. I couldn’t be happier with my outcome! I would highly recommend.
Dylan P.
Dr. Mahbub is fabulous. She did my periodontal cleaning and carefully explained what she was doing and why. She was very patient, constantly asking if I was ok during the procedure. She provided advice to reduce plaque buildup, and showed me techniques to prevent future plaque. Her professionalism, empathy, and skills are superb.
Ann A.
Two weeks post-surgery and I couldn’t recommend this office more. Both doctors are wonderful and clearly very experienced with a patient-first mindset. The office followed up frequently after my surgery to ensure I was recovering well and to answer any questions. After two weeks, I have no pain from the surgery and the gums have already healed up. If you are in need of any dental surgery work, I would 100% recommend this office!
Michael A.
Sara is an excellent dental hygienist and really cares about her patients. She is very good at providing a regimen to help my gums. Dr. Eskow did my gum revision surgery years ago and he’s the best. I recently needed some more work done around the come on 12 and Dr. Eskow handled it beautifully, and his assistant Emily was great.. And the staff at the front desk always makes it a pleasant visit.
Mimi B.
Sholto S.
I’ve been a patient of Dr. Raha Yousefi for over two years, and she is truly one of the best. From day one, her professionalism and genuine care for her patients were evident. Dr. Yousefi’s expertise in dentistry is outstanding, and she takes the time to explain every step of the treatment, ensuring I feel comfortable and informed. Her warm and compassionate personality makes every visit a pleasant experience, and it’s clear she deeply values her patients. The staff at her practice is equally amazing—always friendly, professional, and welcoming. I highly recommend Dr. Yousefi to anyone seeking a dentist who combines professional excellence with heartfelt care.
Cezanne B.
District Dental Surgery Locations