How SFOT Cut This Patient’s Invisalign Treatment Time in Half & Fixed His Gum Recession
If you’re considering clear‑aligner treatment like Invisalign but you have thin gum and bone tissue, you may be worried about recession, bone loss or long treatment times. At our practice in Washington, D.C. and Bethesda, we specialize in treating exactly these kinds of cases by bringing together periodontal surgery and orthodontic care.
In one recent case, we used SFOT to prepare the foundation (bone + gums) before starting Invisalign, enabling treatment to finish in just 3 months instead of the typical 6‑9 months — and we corrected gum recession along the way.
What is SFOT?
Surgically Facilitated Orthodontic Therapy (SFOT) is an advanced approach that blends orthodontics (to move teeth) with periodontal surgery (to modify bone and gums) to enable tooth movement more safely and more quickly.
How it works and why it matters:
- A periodontist evaluates bone thickness, gum tissue, and supporting structures.
- If tissues are thin or recession already exists, surgical intervention — such as bone grafting, tissue augmentation, corticotomies (controlled bone cuts) — is performed to strengthen and expand the foundation.
- Once the foundation is optimized, the orthodontist or aligner provider begins tooth movement. Because the bone has been prepared, teeth can move more freely and predictably. In fact, treatment times can be cut by ~50%.
- The added benefit is healthier gums and bone around the teeth — reducing the risk of future recession and relapse.
For patients with thin bone, exposed roots, gum recession or complex movements, SFOT makes a big difference in safety, speed and stability.
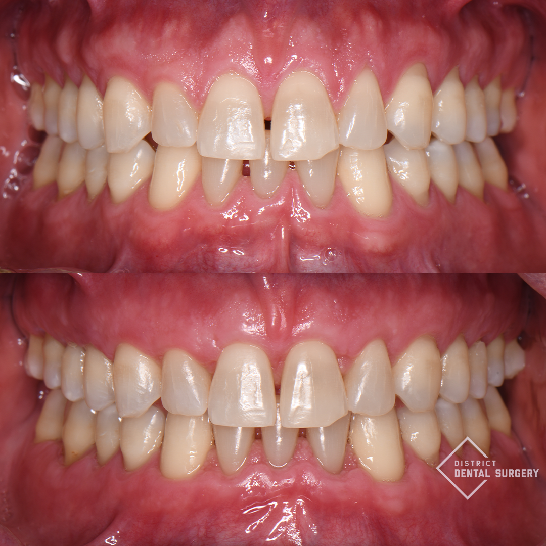
Patient Case: From Recession & Thin Bone to Aligned Smile in 3 Months
Video: Let’s walk through a real case from our practice in Washington, D.C. / Bethesda. This case demonstrates clearly how SFOT + Invisalign is a powerful combination: we didn’t just move the teeth, we strengthened the foundation first — which enabled faster movement and better outcomes.
Initial presentation:
- The patient came to us with generalized gum recession (roots showing, thin gum tissue) and thin alveolar bone supporting many of his teeth.
- His referring dentist was hesitant to initiate Invisalign alone: shifting the teeth without first building up the bone and gum tissue would risk worsening the recession, creating more root exposure, bone defects or even tooth instability.
- The patient’s desire: straighten his front and side teeth, cover exposed roots, improve gum health — and do so in a timely manner.
Treatment plan:
- Coordinate immediately with an orthodontist for aligner-based treatment (Invisalign), but delay aligner activation until the foundation is prepared.
- As the periodontist, we performed bone grafting and soft‑tissue grafting: thickening the alveolar bone, adding volume where bone was deficient, and reinforcing the gum tissue around the roots.
- Once healing had progressed, we began Invisalign aligner movement. Because the bone and gums were now stronger, the aligner movements were more efficient, safer and could be accelerated.
Results:
- Treatment was completed in 3 months, rather than the more typical 6‑9 months for similar cases.
- The exposed roots were covered by enhanced gum tissue and bone support.
- Gum tissue is stable, healthy and contours are improved.
- Tooth alignment achieved, bite correct, and patient is on a maintenance program for long‑term stability.
Why SFOT Works: The Core Benefits
Here’s a summary of why combining SFOT with Invisalign makes sense — especially for patients with gum/bone issues:
Benefit #1: Reduced treatment time
Because the bone is “primed” for movement — via corticotomy, grafting, etc. — teeth move more quickly and with fewer mechanical obstacles. Many practices report treatment time reductions of ~50%.
Benefit #2: Improved safety for gums and bone
Instead of risking recession or bone defects by moving teeth into areas with thin or missing bone, you first enhance those tissues. That means you reduce the risk of root exposure, bone loss, and recession worsening.
Benefit #3: Better long‑term stability
With healthier bone and gum tissue supporting your teeth, you’re less likely to suffer relapse, recession, or bone thinning after orthodontic treatment.
Benefit #4: Wider treatment options
Patients who might have been told “you’re not a candidate for aligners / you must extract teeth / you’ll have a long treatment” may now qualify — thanks to SFOT expanding the possibilities.
Is SFOT Right for You?
Here are some red flags or clues that you might benefit from SFOT:
- You have visible gum recession, exposed roots or thin gum tissue.
- Your dentist or orthodontist has noted thin alveolar bone via CBCT or other imaging.
- You’d prefer clear aligners like Invisalign but you’ve been told that your case is “high‑risk” or likely to take a long time.
- You’d like shorter treatment time without compromising periodontal health.
- You’re an adult patient where bone density, maturation and tissue conditions make tooth movement slower or more risky.
Of course, candidacy must be determined via thorough evaluation by both periodontist and orthodontist. The surgical component adds cost and planning — but in the right case, the benefits can outweigh these factors.
What to Expect During Treatment
Here is a typical workflow:
- Initial consultation: periodontal + orthodontic assessment, CBCT/imaging, gum/bone tissue evaluation.
- Surgical phase: bone grafting/augmentation, soft tissue grafting, corticotomy as needed.
- Healing interval: period of soft/healing before full aligner activation (depends on case).
- Orthodontic phase: Invisalign aligner trays are worn, tooth movement proceeds more efficiently.
- Monitoring: periodontal health maintained, aligner progress tracked, retention plans developed.
- Completion and maintenance: aligned teeth + healthy gums/bone = better outcomes.
Why Choose District Dental Surgery for SFOT?
At our offices in Washington, D.C. and Bethesda, Maryland, we bring together deep periodontal expertise and close collaboration with trusted orthodontic partners. This means:
- We don’t just focus on straight teeth — we focus on healthy supporting tissues (bone + gums).
- We create treatment plans that optimise for speed and safety.
- We’re comfortable treating complex adult cases where thin tissue, recession or compromised bone exist.
Frequently Asked Questions About SFOT
Q: How much faster can treatment be with SFOT?
A: Many patients’ treatment times are about half what they would be without SFOT.
Q: Does the surgical phase hurt?
A: The surgical interventions are minimally invasive in experienced hands; discomfort is manageable, and recovery is often quick.
Q: Will I definitely avoid gum recession?
A: While no treatment is 100% risk‑free, by augmenting bone and gum tissue before moving teeth, we substantially reduce the risk of new recession or worsening existing recession.
Q: Is SFOT only for adults?
A: It’s often used for adults because bone is denser and movement is slower, but in the right case, younger patients may also benefit.
Q: Does this cost more than regular orthodontics?
A: There is an added cost for the surgical component, but when you factor in shorter treatment time, fewer visits, and potentially fewer complications, many patients find the value worthwhile.
Schedule a Consultation!
If you’re considering Invisalign but you’ve been told “your gum/bone condition makes this tricky” or “it will take a long time”, consider the power of combining SFOT + Invisalign. As shown in our case, by strengthening the foundation (bone and gums) before tooth movement, we were able to complete treatment in half the usual time — while also correcting root exposure and gum recession.
Call our Washington, DC or Bethesda, MD office today to schedule a consultation and learn more!







