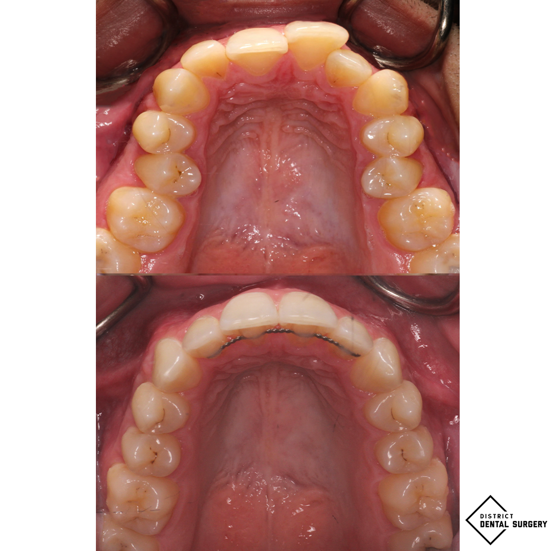
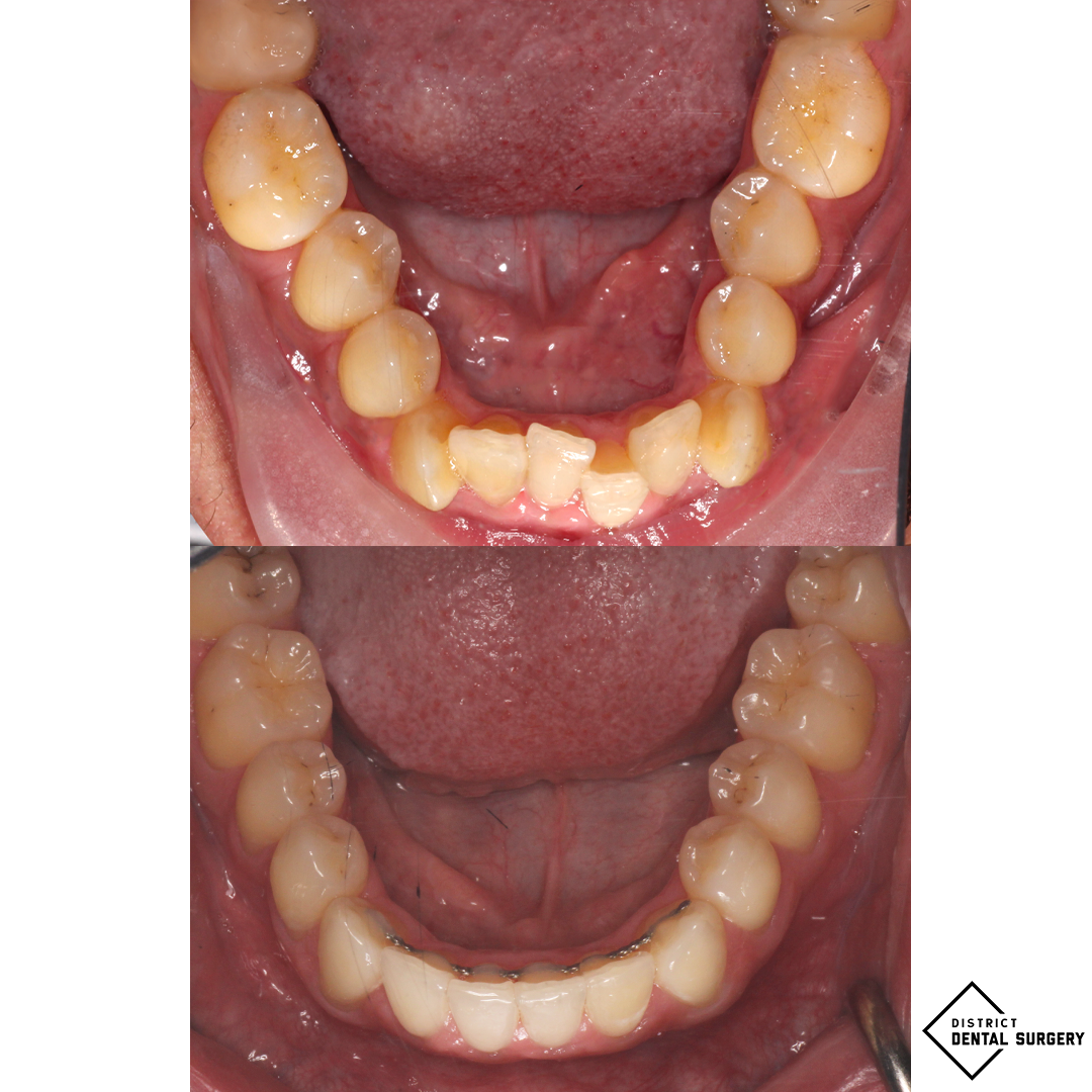
Case 8: SFOT

SFOT (Surgically Facilitated Orthodontic Therapy) - Case 8

SFOT + Invisalign.

This patient was told he would be in Invisalign for 2.5 years but since he had SFOT, Dr. Lucy Johnson reduced his treatment to 10 months.

Please select the location you’d like to visit

Washington, DC

(Formerly Known as District Perio)

1828 L St NW Suite 860 Washington, DC 20036

Bethesda, MD

(Formerly Known as Bethesda Dental Implant Center)

5626 Shields Dr, Bethesda, MD 20817

Please select the location you’d like to visit

Washington, DC

(Formerly Known as District Perio)

1828 L St NW Suite 860 Washington, DC 20036

Bethesda, MD

(Formerly Known as Bethesda Dental Implant Center)

5626 Shields Dr, Bethesda, MD 20817

Leave us a Review!

(Formerly Known as District Perio)

(Formerly Known as Bethesda Dental Implant Center)

Play Video